分级诊疗 | 大桥医院&林科社区医院 上下联动,为生命健康打通“绿色通道”

2025-11-28
1




“医生,我这里有个包块突然卡住了,很疼,回不去了……”



上周,家住郑州的C先生(化名)因左侧腹股沟区突发不适,匆忙赶到林科社区医院就诊。



林科全科诊室侯跃钢主任接诊后,凭借丰富的临床经验快速判断病情紧急,需立即转入上级医院进一步救治。他一边安抚患者情绪,一边第一时间联系我院外科万勇主任,精准传递患者症状、体征等关键病情信息。



一次准确的判断

一场及时的转诊


生命至上,分秒必争。林科社区医院与大桥医院的医生团队迅速形成诊疗共识,“双向转诊绿色通道”即刻启动——林科社区医院高效整理并同步患者初步检查资料,为后续诊疗节省宝贵时间;郑州大桥医院外科团队则提前调配资源,完成术前评估、手术准备等一系列流程,实现从初诊到接诊的“无缝衔接”。




一次顺畅的交接

一段温暖的守护


在社区医生的全程陪同下,C先生平稳抵达大桥医院,无需等待便进入诊疗环节。

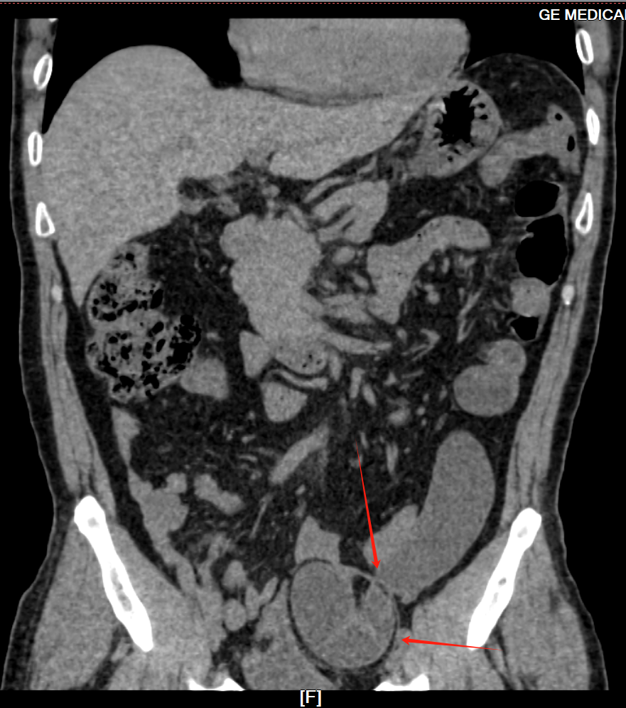
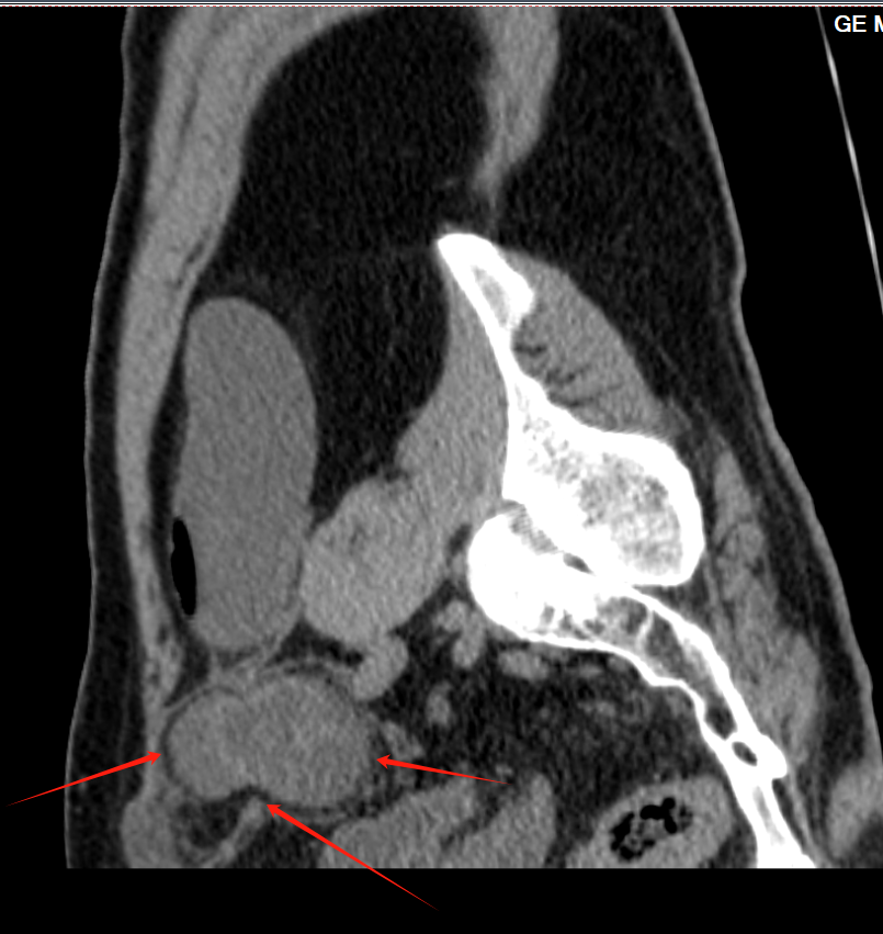
经过外科团队的进一步检查,明确了“左侧嵌顿性腹股沟直疝”的诊断(患者情况紧急,如不及时处理,可能引发肠缺血、坏死等严重后果。)

随即,由外科万勇主任主刀,为患者进行了急诊手术。

林科全科诊室

侯跃钢主任
大桥外科万勇主任

密切进行病情沟通

从社区医院初诊到大桥医院手术,整个过程环环相扣,流畅而高效。

这场与时间的赛跑,看似是一次普通的转诊案例,实则是国家分级诊疗政策在基层落地的生动实践。

C先生的转危为安,既离不开林科社区医院作为“健康前哨”的精准识别与快速响应——扎根社区的优势让基层医生能第一时间捕捉病情信号,为急症救治抢下“黄金窗口期”;更得益于郑州大桥医院的专业实力与高效承接。

基层“早发现、早处置”与上级医院“强技术、快响应”的无缝协作,正是分级诊疗制度“小病在社区、大病进医院、康复回社区”核心要义的完美诠释。



双向转诊

让就医之路更顺畅


双向转诊是国家推动分级诊疗制度的重要举措——这种高效协作的模式,究竟能为患者带来哪些实实在在的好处呢?

资源优化,就医更高效

分级诊疗,各司其职:常见病、多发病在社区就近解决,疑难急症则通过绿色通道在综合实力更强的医院快速转诊,让宝贵的医疗资源能服务于最需要的患者。


信息共享,省心又省力

避免重复检查,节约成本:社区与医院间的信息互通,意味着患者在转诊过程中可以避免许多重复的检查,不仅节约了时间,也减轻了经济负担。


服务连贯,健康有保障

全程健康管理,医疗"不断档":从社区初诊、医院治疗到后期的康复指导,患者的健康档案和信息在机构间顺畅流转,实现了医疗服务的“不断档”,让患者全程都感到安心。




双向奔赴,让健康更有保障


每一次及时的沟通,每一次顺畅的转诊,背后都是对生命的尊重与呵护。郑州大桥医院社区医院各司其职又紧密协作,始终致力于打破机构壁垒,让医疗服务真正延续,让健康关怀一路随行。



我们深信,优质的医疗服务不仅在于精湛的技艺,更在于流程中体现的人文温度与协作效率。未来,我们将继续携手并进,不断优化服务动线,将这种“双向奔赴”的协作模式深化为居民健康的坚实盾牌,让每一位信赖我们的患者,都能在需要时感受到便捷、安心与守护。



构建顺畅、高效的双向转诊体系,不仅是当前服务的核心环节,更是未来发展的战略基石。郑州大桥医院将联合所属五家社区医院,形成一体化协同发展格局,持续把转诊流程优化、机构协同融合作为重中之重,致力于打造一个响应迅速、运行流畅、服务闭环的区域医疗服务网络,让优质的医疗资源真正实现上下贯通,守护每一位居民的健康之路。


下一篇:这是最后一篇
上一篇:这是第一篇
写下您的评论吧